Экс-заместитель председателя правительства Ульяновской области Сергей Кучиц летом прошлого года ушел на фронт добровольцем.
Сергей Кучиц, экс-заместитель председателя правительства Ульяновской области, рассказал в своем телеграм-канале об очередной сложной операции в полевом госпитале.
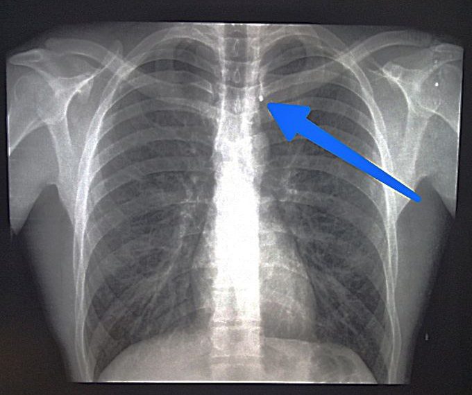
— Рядовой Л. получил сочетанное осколочное ранение груди и живота, в результате артиллерийского обстрела, — уточнил доктор.
Рядовой попал под артиллерийский обстрел и был изранен осколками.
Ранение груди, несмотря на опасную локализацию, оказалось слепым непроникающим, и не несло угрозы жизни раненому. Ранение живота оказалось слепым и проникающим в брюшную полость, и представлялось как наиболее опасное.
Пациента экстренно прооперировали. Доктор уверен: парню очень повезло. После стабилизации боец может вернуться в строй.



























